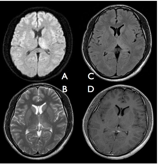
Figure 1

¦^¤W¤@­¶